Ретейнери у Дніпрі
Після ортодонтичного лікування для виправлення прикусу та зняття брекетів важливу роль відіграє ретенційний період.Для реорганізації тканин пародонта, особливо періодонтальної зв’язки, потрібен час – приблизно 4-6 місяців. Щоб запобігти негативним наслідкам, рекомендується ретейнер – спеціальна ортодонтична конструкція, яка націлена не на переміщення зубів, а на утримання зв’язок після зняття брекет-системи та збереження позитивного результату лікування.
Ретенційний період після ортодонтичного лікування
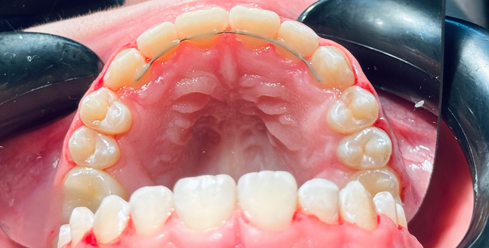
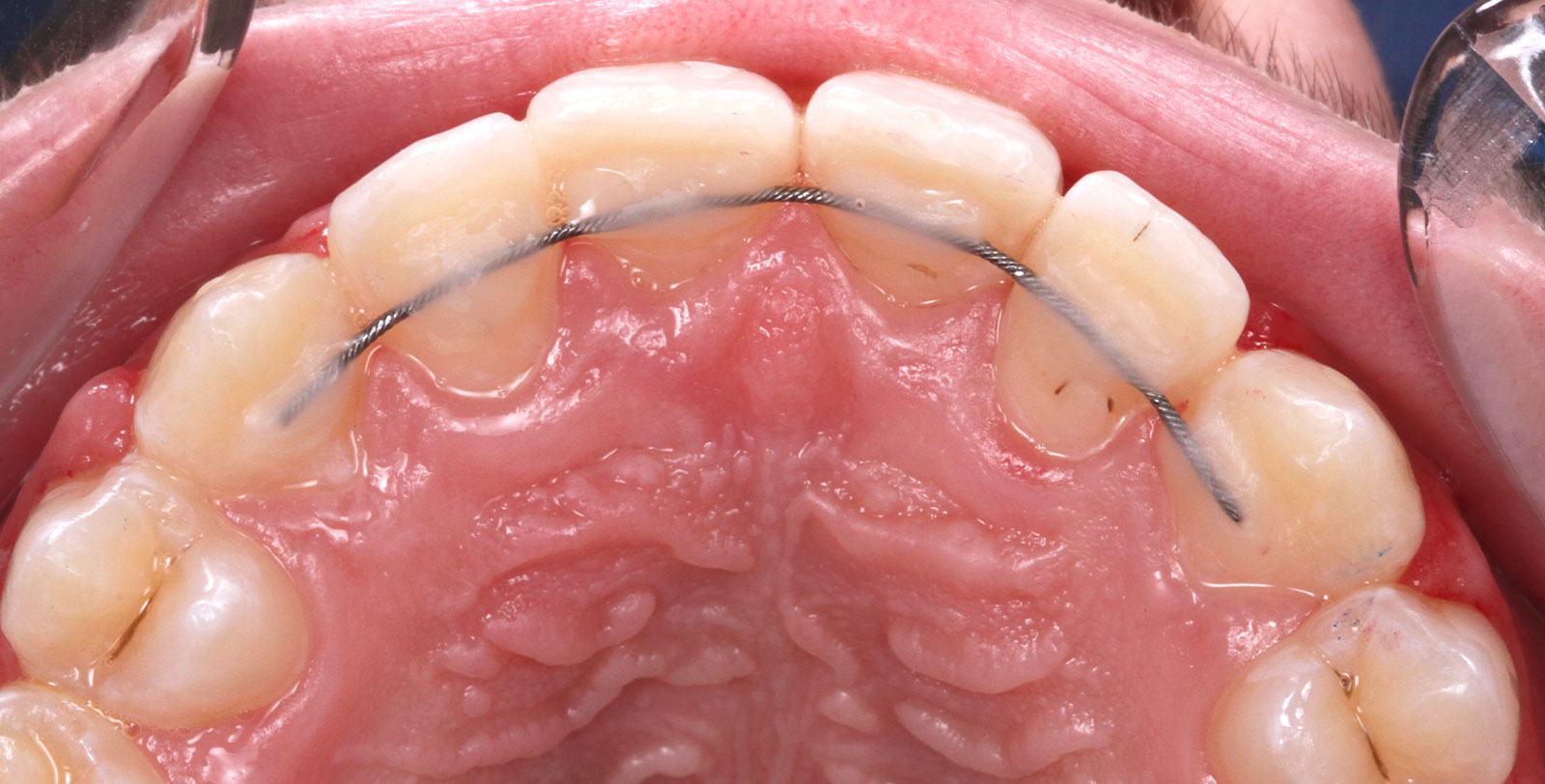
Ретенція – процес утримання зубів в новому положенні після їх вирівнювання (носіння брекет-системи чи елайнерів). Після завершення періоду вирівнювання зубів існує велика ймовірність повернення зубів в початкове положення. Ретейнери запобігають руху зубів після завершення процесу вирівнювання. Ретейнери бувають знімні та незнімні
Знімні ретейнери капи
Їх потрібно носити постійно протягом перших 3-6 місяців. Після цього початкового періоду ретейнери слід носити щоночі. Знімні ретейнери можна знімати тільки під час їжі, чищення зубів.
Незнімні ретейнери
Вони кріпляться на задню поверхню передніх зубів, призначені для попередження появи щілин між зубами або поворотів зубів. При наявних фіксованих ретейнерах бажано уникати приймання дуже твердої їжі, яка може пошкодити їх. Пацієнти з фіксованими ретейнерами повинні мати також знімні ретейнери для періодичного їх носіння в нічний час і для крайнього випадку, наприклад, при ламанні фіксованого ретейнера.



