Вирівнювання зубів: брекети, пластинки, капи, апарати у Дніпрі
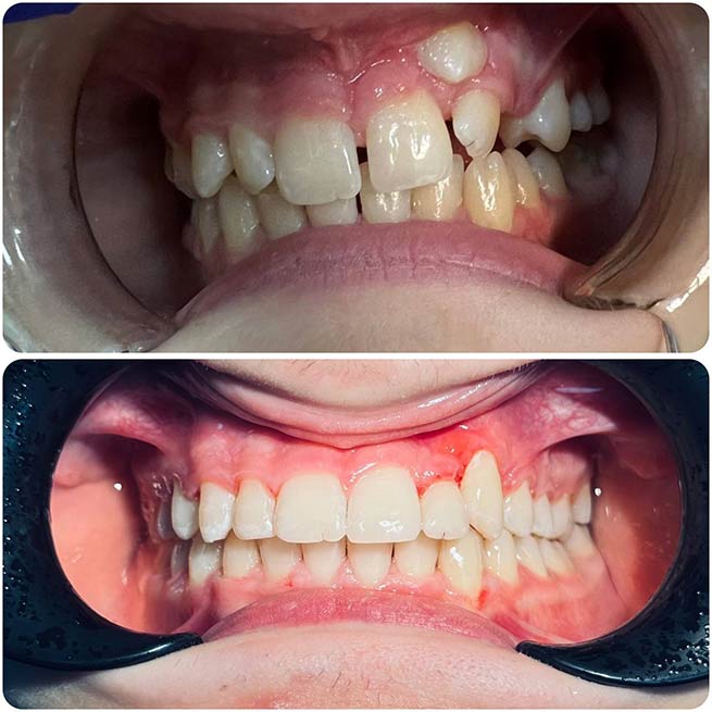
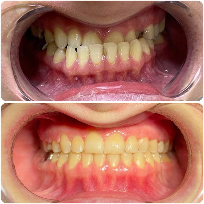
Вирівнювання зубів – це процес, під час якого відбувається виправлення неправильного положення зубів та зубного ряду, виправляються нерівномірності та аномалії прикусу за допомогою ортодонтичного лікування.
Це допомагає досягти не тільки естетично привабливої посмішки, а й поліпшити функціональність зубів і загальне здоров’я порожнини рота. Ортодонтичні методи, такі як брекети, елайнери, пластини або трейнери застосовуються для вирівнювання зубів і створення правильного прикусу.
Основні способи вирівнювання прикусу, які наразі активно використовуються в стоматологічній практиці в Україні та світі:
- Елайнери;
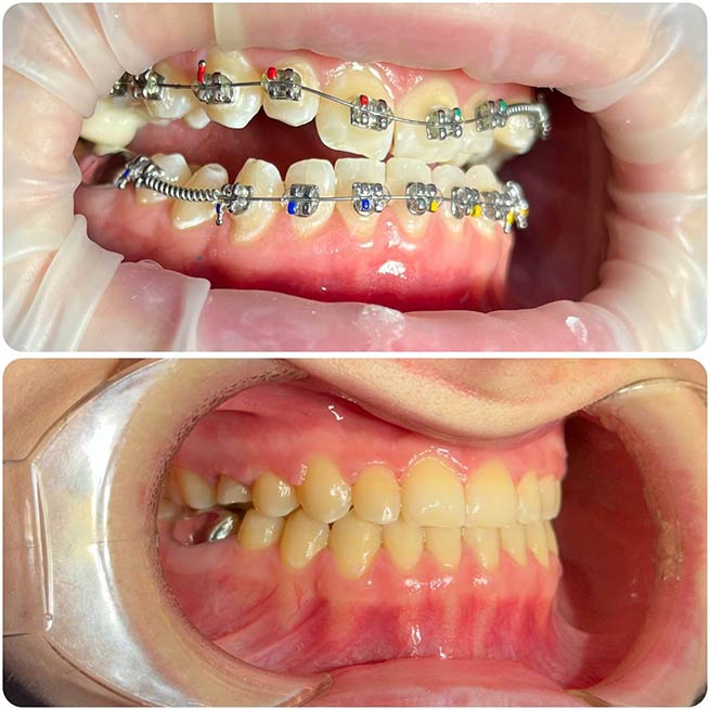
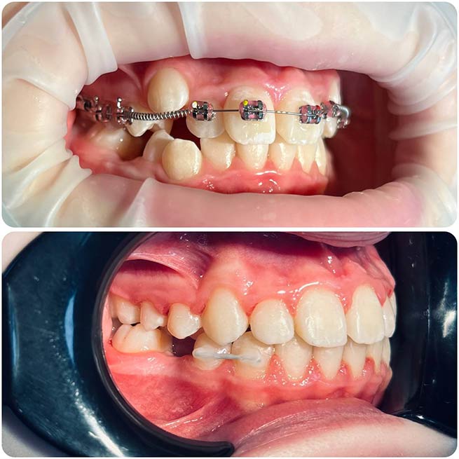
- Брекет-системи – металеві, сапфірові, керамічні;
- Самолігуючі брекети;
- Трейнери та пластини.










Серед основних методик корекції прикусу використовуються:
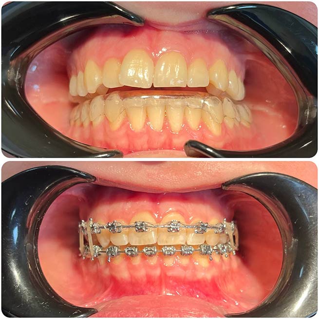
- Елайнери – варіант знімних конструкцій, є прозорими капами, які фіксуються на зубах. Вони практично непомітні та не порушують естетику посмішки. Такий варіант підходить для виправлення невеликих порушень прикусу.
- Брекети – незнімна система корекції прикусу. Принцип дії полягає у постійному тиску, що дозволяє поставити зуби в анатомічно правильне положення. Різновидів брекет-систем багато. За матеріалом вони бувають:
Металеві – найдешевший варіант. Такі брекети практичні, дієві, але не відрізняються естетичною привабливістю.
Керамічні – привабливі зовні, мають білий колір зручні у використанні
Сапфірові – прозорі, міцніший, але й при цьому найдорожчий варіант із брекет-систем.