Гнатологія. Лікування (СНЩС) скронево-нижньощелепного суглоба
Гнатологія – це розділ стоматології, який вивчає функціонування зубощелепної системи. Досліджує, як працюють зуби, щелепи, м’язи та суглоби.
Гнатологія являє собою спеціалізовану галузь стоматології, яка займається вивченням функціональної взаємодії структур зубо-щелепного апарату, включно з жувальними м’язами, м’язами обличчя, скронево-нижньощелепними суглобами, кістками черепа, тканинами пародонту та зубами.
Фахівець у сфері гнатології проводить діагностику та лікування захворювань, що стосуються проблем функціонування скронево-нижньощелепного суглоба, патологічних змін жувальних м’язів, а також деформацій зубного ряду й порушень прикусу. Здебільшого на консультацію до лікаря-гнатолога звертаються пацієнти, яких направляють стоматологи-ортопеди або стоматологи-ортодонти.
Діагностика захворювань нижньощелепного суглоба охоплює:
- огляд рентгенівських знімків суглобів та їх опис
опитування пацієнта; - стоматологічний огляд ротової порожнини;
- перевірку змикання зубів у різних положеннях нижньої щелепи;
Гнатолог займається допомогою пацієнтам, які стикаються з проблемами у функціонуванні скронево-нижньощелепного суглоба (СНЩС), скреготінням зубів та іншими порушеннями щелепної системи. Від правильного функціонування цієї системи залежить загальний стан здоров’я людини, адже її дисфункція може призвести до серйозних наслідків, таких як хронічний біль, порушення роботи жувальних м’язів і навіть труднощі із змиканням щелепи.
Гнатологічні порушення можуть бути як вродженими, так і набутими через різні фактори, наприклад травми чи неправильний прикус.
Серед найпоширеніших наслідків таких порушень зазвичай спостерігаються стертя зубної емалі, проблеми з травною системою, запалення ясен, мігрені, порушення дихальної функції, труднощі з мовленням і інші подібні ускладнення.
Варто підкреслити, що лікуванням та корекцією гнатологічних проблем займаються стоматологи, серед яких ортопеди, ортодонти й хірурги. Таким чином, гнатологія нерозривно пов’язана зі стоматологією.
Ознаки проблем із суглобом
- хрускіт або клацання в області основи щелепи під час їжі, розмов чи позіхання;
- біль при відкриванні або закриванні рота, а також під час жування, який може віддавати в голову, шию чи спину;
- виражена асиметрія обличчя або зміна його овалу;
- неправильне змикання щелеп і викликаний цим дискомфорт;
- обмежена можливість широко відкрити рот;
- головний біль, біль у ділянці вух, шиї, спини, а також дзвін у вухах.
Причини порушень у роботі суглобів
Неправильний прикус – його наявність може призводити до нерівномірного розподілу навантаження на суглоб, що стає причиною перенапруження й поступового зношування.
Травми – до пошкодження структури суглоба можуть спричиняти як макротравми (наприклад, падіння), так і мікротравми, викликані регулярним вживанням твердої їжі, що поступово погіршує стан суглоба.
- Парафункціональна активність – стискання зубів унаслідок стресу або під час сну спричиняє перенапруження суглоба та м’язів. Хронічний стрес і його вплив на м’язовий тонус.
- Тривалий стрес здатний підвищувати напруженість жувальних м’язів, що часто провокує дискомфорт і больові відчуття.Реферативний біль. Больові відчуття, які виникають через специфіку роботи нервової системи, можуть локалізуватися в зоні щелепного суглоба, навіть якщо їх справжнє джерело перебуває в іншій частині тіла.
- Вплив загальних захворювань. Такі стани, як ревматизм, гормональні зміни або застосування певних медикаментів (наприклад, КОК), здатні впливати на суглоби, змінюючи їх стан і функціональність.
До причин виникнення дисфункції суглоба можна віднести: тривалу відсутність жувальних зубів без їх заміщення штучними протезами; звичку регулярно жувати лише на одному боці; некоректно виконане протезування; механічні травми щелепи; а також неправильний прикус.
Методи лікування
Лікування дисфункції СНЩС і болю, пов’язаного з нею, за допомогою гнатологічного підходу може охоплювати різні методи, залежно від ступеня тяжкості стану.
Корекція зубощелепної системи містить:
- Ортодонтичним лікуванням досягається корекція положення зубів у роті, верхньої та нижньої щелепи, що сприяє відновленню правильного функціонування зубощелепної системи.
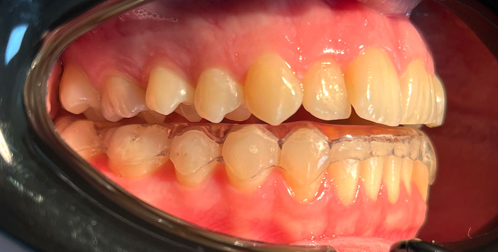
- Застосування міорелаксуючих кап сплінт-шини, які допомагають знизити навантаження нижньощелепного суглоба і запобігають скреготу зубів (бруксизм).
- Фізіотерапія – проведення процедур, спрямованих на зняття напруги м’язів і поліпшення роботи щелепного суглоба.
- Призначення знеболювальних і протизапальних препаратів для полегшення симптомів і зменшення запалення в ділянці СНЩС.



