Дитячий ортодонт Дніпро
Дитячий ортодонт – це стоматолог, який спеціалізується на корекції прикусу, неправильного положення зубів. Вони зустрічаються більш ніж у половини дітей та проявляються з появою перших постійних зубів. Це оптимальний час, щоб проконсультуватися в ортодонта та при необхідності провести лікування.
Правильний прикус важливий не тільки з естетичної точки зору, але й відіграє значну роль у загальному здоров’ї та фізичному розвитку дитини. Цій темі приділяють особливу увагу через значний вплив неправильного положення зубів на різні аспекти життя.
Корекція зубів у дітей необхідна, адже неправильний прикус може стати причиною:
несприятливого впливу на розвиток мовлення,
ускладнень під час пережовування їжі, що в майбутньому здатне спричинити проблеми з травленням, порушення постави, незбалансованого розвитку шийного
відділу хребта, зміни форми обличчя та інших наслідків.
Дитячий ортодонт у Дніпрі підбирає методи корекції індивідуально, обираючи найкращий варіант, який буде комфортним для дитини та дозволить отримати бажаний результат максимально облегшеними способами.
Зараз для виправлення прикусу використовують пластини, брекети, трейнери, міобрейси.
Основні причини неправильного прикусу:
- генетична схильність;
- хронічні захворювання, зокрема ЛОР-органів;
- раннє випадання або видалення молочних зубів;
- смоктання пальця або іграшок, кусання щоки, губ.
Ознаками неправильного прикусу є:
- неможливість правильно зімкнути щелепи;
- випирання деяких зубів вперед або назад;
- поява зубів другим рядом;
- нерівне розташування зубів;
великі проміжки між зубами.
Для корекції прикусу у дітей використовують:
- ортодонтичні пластинки та апарати;
- функціональні трейнери та міобрейси;
- брекет-системи;
- міофункціональні вправи
Ортодонтичні пластинки – популярні в стоматології конструкції для виправлення прикусу або положення зубів, переважно у дітей. Пластина може бути як знімна, так і незнімна. Відрізняється м’яким впливом на зубний ряд та високою ефективністю.
Знімна пластина для розширення верхньої щелепи складається з полімерної основи (поліуретан або силікон), що покриває піднебіння , дуг та гачків із медичної сталі, за допомогою яких конструкція фіксується у роті. Апарат гіпоалергенний, його можна знімати під час їжі та чищення зубів.
Незнімні конструкції менш поширені і найчастіше застосовуються для лікування дорослих пацієнтів. Вони ефективніші, адже надають постійний вплив на зуби. З ними дикція мало змінюється. Загубити незнімну пластинку неможливо. Однак щоденна гігієна зі встановленим апаратом складніша — необхідно використовувати іригатор.
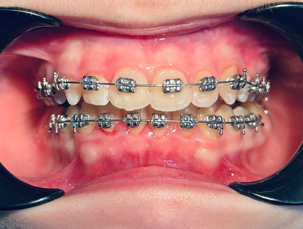
Брекети – це незнімна ортодонтична система, яка використовується для виправлення викривлення зубів та прикусу. Вони можуть бути встановлені як дітям, так і дорослим.
У дітей зуби ще не повністю сформовані, тому вони краще піддаються ортодонтичному впливу. В результаті, діти можуть носити брекети коротший час, ніж дорослих.
Брекет-системи сприяють вирівнюванню зубів і правильному формуванню щелепи. Завдяки дотриманню порад ортодонта, регулярним консультаціям і контролю з часом покращується зовнішній вигляд, формується гарна та рівна посмішка. Це, у свою чергу, зміцнює впевненість у собі та позитивно відображається на соціальній адаптації.








