Капи для вирівнювання зубів у Дніпрі
Елайнери — сучасна ортодонтична конструкція, за допомогою якої можна виправити проблеми прикусу та зубів без брекетів. Вони є еластичні, часто повністю прозорі накладки на зуби, виготовлені з гіпоалергенного матеріалу. Елайнери можна знімати та повторно одягати в домашніх умовах.
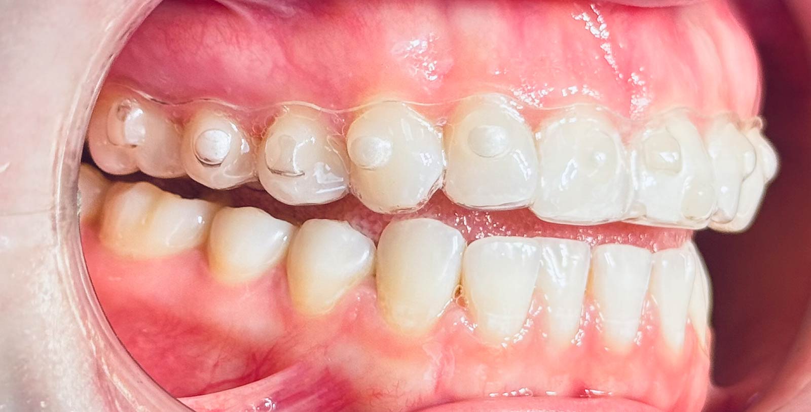
Після фіксування капи щільно прилягають до зубів, м’яко рухаючи їх до потрібного положення. Виглядають як 2 пари кап (для верхньої та нижньої щелепи) і розробляються індивідуально для кожного пацієнта на основі 3D-сканування його ротової порожнини.
Елайнери для вирівнювання зубів працюють завдяки постійному, але помірному тиску, який поступово зміщує зуби в потрібне положення. Для досягнення бажаного результату їх потрібно носити щодня не менше 20 годин, знімаючи лише під час прийому їжі або чищення зубів. У процесі лікування пацієнту надається набір кап, які він змінює відповідно до етапів виправлення прикусу. Як тільки зуби адаптуються до положення, заданого першою капою, її замінюють на наступну. Кількість кап і тривалість лікування визначає лікар-ортодонт індивідуально для кожного пацієнта.
У процесі лікування пацієнту надається набір вирівнюючих кап, які проектуються та виготовляються індивідуально для кожного. Капи чинять спрямований тиск на окремі зуби, поступово переміщуючи їх у бажане положення. Після того як зуби адаптуються до першої капи, пацієнт переходить до наступної. Цей процес триває до досягнення запланованого результату.
Кількість кап та кінцеве положення зубів визначається ортодонтом. Крім того, лікар регулярно оцінює проміжні результати лікування протягом усього курсу.
Показання до встановлення елайнерів
Прозорі капи для вирівнювання зубів використовуються при виправленні:
- діастеми
- треми
- скупченість зубів
- відкритий, перехресний або глибокий прикус
Протипоказання
- Пародонтит.
- Складні випадки, аномалії прикусу (тут допоможуть брекети).
- Недисципліновані пацієнти. Вік до 12 років.
Також є протипоказання, при яких пацієнту не рекомендовано носити елайнери:
- захворювання скронево-щелепного суглоба;
- аномалії розвитку щелеп;
- тяжкі хронічні хвороби;
- розлади психіки.
Переваги елайнерів
- прозорі накладки будуть непомітними навіть при детальному розгляді;
- пацієнт знімає капи під час їжі та чищення зубів, а значить, може їсти тверді та жорсткі продукти без страху пошкодити конструкцію;
- капи прості у догляді, досить просто промивати їх перед одяганням, у процесі носіння під конструкцією не утворюється карієс.
Встановлення кап для виправлення прикусу
Лікування елайнерами починається з ретельної діагностики. ортодонт оглядає зуби пацієнта, для додаткової візуалізації та уточнення діагнозу робиться рентген знімок щелеп. На даному етапі лікар визначає, чи можливе лікування за допомогою елайнерів або для виправлення дефекту необхідне встановлення брекет-систем.
Під час виготовлення індивідуальних кап потрібно створення точної моделі зубів пацієнта. Для цього робляться зліпки щелеп, які прямують до лабораторії, де і буде виготовлено елайнери.
Після зняття зліпків у лабораторії виготовляється необхідна кількість кап. У процесі лікування пацієнту необхідно буде змінювати елайнери відповідно до плану лікування — як правило, заміна проводиться раз на 2-2,5 тижні.
Перша установка кап для вирівнювання зубів проводиться у кріслі у стоматолога. Далі пацієнт робитиме це самостійно.
Звичайно, ортодонтичні капи набагато тонші за брекети, але і вони перші дні чітко відчуваються в роті, адже це додаткові кілька міліметрів до зубів. Однак незабаром пацієнт звикає і накладки не заважають йому в повсякденному житті.
Тривалість лікування залежить від обраного типу кап та серйозності дефекту. Незначна кривина зубів виправляється за 5-12 місяців, більш складні випадки можуть вимагати носіння елайнерів протягом 2-х років.






