Виправлення прикусу: брекети, елайнери, пластинки, апарати у місті Дніпро
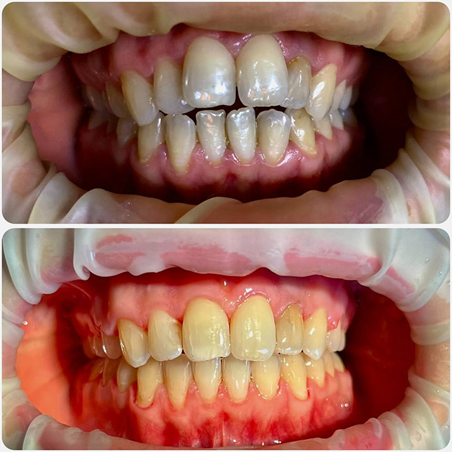
Неправильний прикус – це порушення змикання зубів, відсутність правильних контактів при жуванні. Ця проблема часто супроводжується зовнішньою неестетичністю зубного ряду. Тому зазвичай пацієнти приходять із запитом на вирівнювання зубів, а не з потребою виправлення прикусу.
Зазвичай неправильний прикус не помічають, якщо зуби у зоні посмішки відносно рівні. Але вчасно виправити прикус важливо для здоров’я зубів у майбутньому.
Зрозуміти, що прикус неправильний, можна за зовнішніми ознаками:
- асиметрія овалу обличчя;
- випнуті щелепи;
- недорозвинене підборіддя;
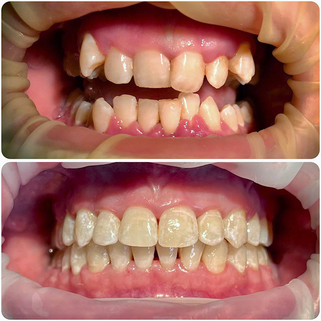
- щілини між зубами;
- скупчення зубів;
- відсутність місця в щелепі для деяких зубів.
Види неправильних прикусів
- Дистальний. Верхня щелепа сильно розвинена і виступає вперед, нижня — недорозвинена.
- Мезіальний. Нижня щелепа дуже виступає вперед.
- Відкритий. Частина зубів, наприклад, різці та ікла, взагалі не замикаються один з одним. Вважається однією з найскладніших аномалій.
- Глибокий прикус. Верхні зуби перекривають нижні більше, ніж на половину.
- Перехресний. Щелепа недорозвинена з одного боку, верхні та нижні зуби перетинаються перехресно.
Наслідки неправильного прикусу
Втрата зубів. Жувальне навантаження на зуби розподіляється нерівномірно — вони стираються, нахиляються і розхитують корені. Після втрати зубів складно провести імплантацію, тому що місце для імпланта і коронки займають упалі «сусіди». Повернення жувальної функції й естетики в такому випадку потребує тривалого лікування в ортодонта, хірурга й ортопеда.
Проблеми з яснами. Від неправильного жувального навантаження страждає пародонт — тканина, що оточує корінь зуба і ясна. Нахиляючись і зміщуючись, зуби залишають простір між зубом і яснами, в який потрапляють бактерії та викликають запалення. Тканина ясен зменшується й оголює корінь зуба.
Дисфункція скронево-нижньощелепного суглоба. Задавнені захворювання скронево-нижньощелепного суглоба дуже погіршують самопочуття і їх складно лікувати. З’являється головний біль, клацання і хрускіт під час відкривання рота, спазми. Іноді буває навіть складно і боляче відкривати рот.
Як виправляють прикус?
Є кілька способів усунення проблем нерівного зубного ряду:
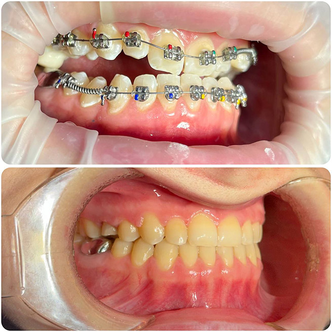
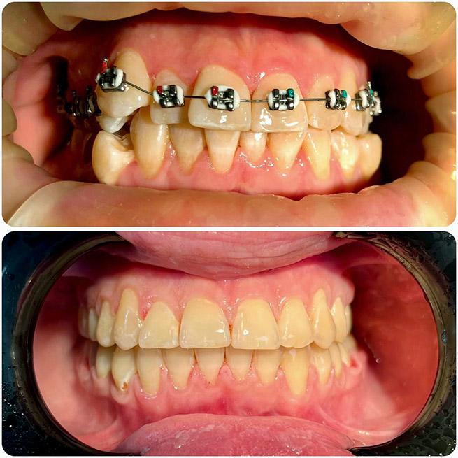
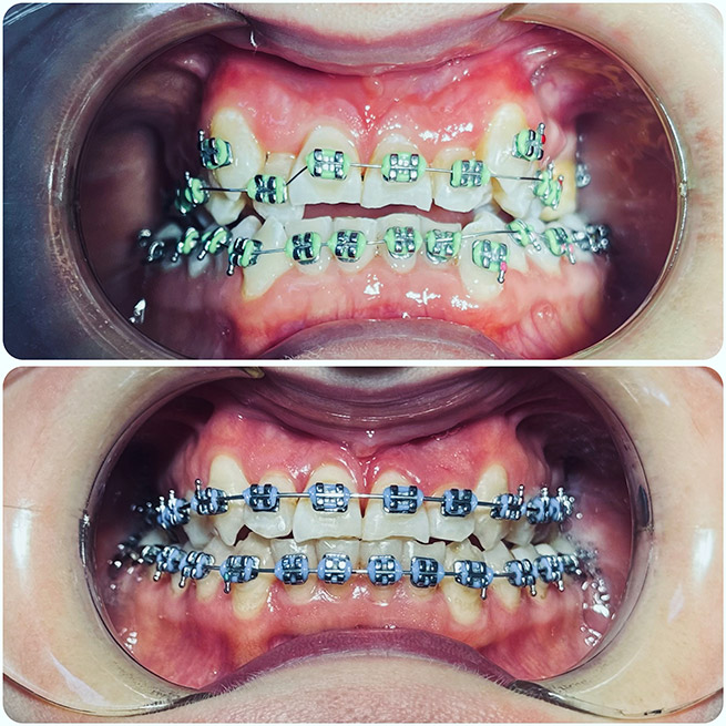
- Носіння брекетів. Найбільший поширений варіант. Крім того, вони можуть відрізнятися за матеріалами виготовлення (з кераміки, металу або сапфіра) і способами фіксації (лігатурні та самолігувальні);
- Використання індивідуальних кап з прозорих полімерів (елайнеров). Цей спосіб підходить окремим дорослим, дозволяючи їм виправити прикус без традиційних брекетів;
- Також прикус можна виправити пластинками апаратами та трейнерами














